心電圖、心臟彩超機、冠脈造影三個檢查是臨床心臟疾病診治最常用的診斷工具,它們各有用途,不能相互替代。大為B超機就為大家介紹一下最常見的3種心臟檢查——心電圖、心臟彩超、冠脈造影,這3種檢查都預示哪方面疾病,幫患者做到心中有數。
臨床工作中,經常有患者因為胸痛、胸悶、心慌、憋氣、頭暈等不適去心臟??凭驮\。隨后醫生會開出相關的檢查,有的時候會要求患者做好幾項檢查,比如心電圖、心臟彩超、冠脈造影等等。經常有患者抱怨:“我做了心電圖,為什么還要用彩超機做彩超?”“我一會就要做造影,還有必要做彩超嗎?”還有些患者嫌做這么多檢查太麻煩了,還“浪費”錢。那么,為什么要做這么多檢查呢?
心電圖檢查
心電圖是檢查心臟電活動的,比如心律不齊、早搏,以及急性心肌梗死都可以靠心電圖診斷。這些病都伴隨著心臟電活動的改變。但是心電圖的診斷依賴于發病與否。
比如心慌這個癥狀,在發作期可能心電有改變,而緩解期心電完全可以恢復正常。所以當患者有心臟不舒服時,比如感到胸悶、心慌、胸痛,第一要務不是去大醫院找專家,而是就近立刻在發病時捕捉一份心電圖,捕捉好發病時的心電圖再找專家也不遲。
常見的心電圖有3種:常規心電圖即靜息心電圖,動態心電圖(又稱Holter)和運動平板心電圖。

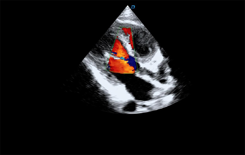
心臟彩超機檢查
有些心臟病會引起心臟電活動的改變,但是有些心臟的疾病卻不影響心電,而只影響心臟本身的結構。比如心臟擴大,心臟收縮無力,心臟的瓣膜關閉不嚴密,這些疾病的診斷及發現更多的依賴于心臟彩超,這些病變一般不隨癥狀的緩解而緩解。心臟超聲心動圖,不需要開胸,就可以看到心臟的大小、內部結構、瓣膜運動情況等。除了探頭壓迫可能會有疼痛或不適感外,對患者沒有任何創傷。
臨床上,心臟超聲心動圖主要用于對各種先心病、心臟瓣膜病的診斷;各種心肌病、心包疾病的診斷和心臟功能的評估。部分嚴重肺氣腫、胸廓畸形等患者,因為超聲圖像質量欠佳而診斷效果受到一定限制。


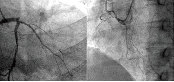
冠脈造影
冠狀動脈是給心臟供血的血管,當這個血管或者它的分支出現病變,我們就會患上冠心病(心肌缺血)。在輕度病變的時候, 患者沒有癥狀,或者出現心絞痛。嚴重病變的時候會有形成心肌梗死的風險。
前臨床常用的冠狀動脈造影檢查包括冠狀動脈CT血管造影(CTA)和介入冠狀動脈造影兩種,都是評價動脈是否存在病變以及指導治療的重要手段,兩者各有優缺點,也各有利弊,在不同情況下選擇不同的檢查方式,需要根據情況來決定,不能一成不變的認為CTA好或者介入造影更好。

心電圖、心臟彩超、冠脈造影三個檢查各具有其優勢和缺陷,因此臨床醫生要根據不同患者的病情酌情選擇合適的檢查手段。