
L5-VET便攜筆記本式獸用彩超機
動物寵物超聲診斷儀
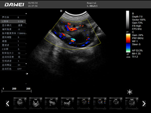
彩色多普勒動物超聲診斷儀
·超聲主機操作系統:Windows 7 操作系統 安全穩定
·高亮度高分辨率低功耗15英寸彩色液晶顯示器
·人性化的自定義配置:可連接激光/噴墨打印機、輸入法以及外置存儲設備
·豐富獸用探頭配置支持多達10種以上探頭群工作
·面板布局簡潔操作自然便捷
·支持彩色多普勒、頻譜多普勒、能量多普勒、連續多普勒等成像技術
·實時三維成像技術
·多倍波束成像技術幀頻提高同時,成像質量也能保證
·標配18650標準鋰電芯,超長續航保證 各種突發狀況從容應對
·凈重:6.7kg; 毛重:18kg 尺寸:370x360x75mm
適用對象:
牛羊馬豬犬貓及多種家禽、實驗動物、野生動物、及部分水生動物
應用范圍:
·適用于狗、貓、馬、牛、羊等多種動物的臨床腹部、胸腔、心臟、肌腱、眼球、孕期檢查等的應用
·爬行類妊娠診斷,魚類性別鑒定的診斷
